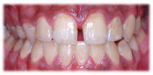
CASE 4: Cosmetic Dentistry–Cleaning–Whitening
Professional cleaning and teeth whitening for a brighter smile.
Case Overview

Before & After Comparison
Before

After

Case Details
Professional cleaning and teeth whitening for a brighter smile.
Cosmetic DentistryWant Similar Results?
Schedule a consultation to discuss how we can help you achieve your dental goals.