CASE 3: Emergency Dentist Fractured Broken Tooth
Emergency treatment for severely fractured or broken tooth.
Case Overview

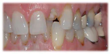
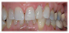
Before & After Comparison
Before

After

Case Details
Emergency treatment for severely fractured or broken tooth.
Emergency TreatmentWant Similar Results?
Schedule a consultation to discuss how we can help you achieve your dental goals.