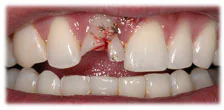
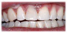
CASE 7: Emergency Treatment – Fractured Tooth
Emergency repair of fractured tooth with composite restoration.
Case Overview

Before & After Comparison
Before

After

Case Details
Emergency repair of fractured tooth with composite restoration.
Emergency TreatmentWant Similar Results?
Schedule a consultation to discuss how we can help you achieve your dental goals.