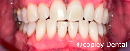
CASE 60: Cosmetic Dentistry – Teeth Whitening
Professional teeth whitening for a brighter, more confident smile.
Case Overview

Before & After Comparison
Before

After

Case Details
Professional teeth whitening for a brighter, more confident smile.
Cosmetic DentistryWant Similar Results?
Schedule a consultation to discuss how we can help you achieve your dental goals.