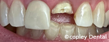
CASE 55: Fractured Tooth
Treatment for fractured tooth restoration.
Case Overview

Before & After Comparison
Before

After

Case Details
Treatment for fractured tooth restoration.
Emergency TreatmentWant Similar Results?
Schedule a consultation to discuss how we can help you achieve your dental goals.