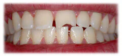
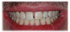
CASE 29: Emergency Treatment – Broken Teeth
Emergency treatment for multiple broken teeth.
Case Overview

Before & After Comparison
Before

After

Case Details
Emergency treatment for multiple broken teeth.
Emergency TreatmentWant Similar Results?
Schedule a consultation to discuss how we can help you achieve your dental goals.