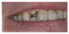
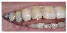
CASE 26: Broken Fractured Tooth
Restoration of broken and fractured tooth.
Case Overview

Before & After Comparison
Before

After

Case Details
Restoration of broken and fractured tooth.
Emergency TreatmentWant Similar Results?
Schedule a consultation to discuss how we can help you achieve your dental goals.