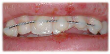
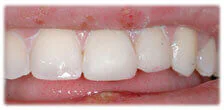
CASE 14: Dental Trauma- Broken Teeth
Bike accident resulted with broken teeth. Cosmetic dentistry repaired with tooth colored restoration.
Case Overview

Before & After Comparison
Before

After

Case Details
Bike accident resulted with broken teeth. Cosmetic dentistry repaired with tooth colored restoration.
Emergency TreatmentWant Similar Results?
Schedule a consultation to discuss how we can help you achieve your dental goals.