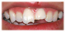
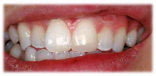
CASE 11: Emergency Dentist – Chipped Tooth
Sport accident hit in the face, broken teeth, cosmetic dentist repair with tooth colored restoration.
Case Overview

Before & After Comparison
Before

After

Case Details
Sport accident hit in the face, broken teeth, cosmetic dentist repair with tooth colored restoration.
Emergency TreatmentWant Similar Results?
Schedule a consultation to discuss how we can help you achieve your dental goals.